阿奇霉素不好使换什么药(阿奇霉素效果不好怎么办)
肺炎临床上很常见,当出现发热咳嗽咳痰,而无其他症状的时候,需要想到是肺炎的可能,当然支气管炎也可以发热咳嗽咳痰。
年轻人和小孩子的肺炎,常见的有支原体肺炎。医学上,支原体肺炎称之为不典型肺炎。支原体肺炎的治疗,可以用阿奇霉素,因为阿奇霉素能治疗支原体,但是因为部分人或部分地区等原因,在未确诊支原体感染的时候,用阿奇霉素的次数比较多,或说患者既往出现发热咳嗽咳痰或鼻塞流鼻涕打喷嚏咽喉不适的症状时,经常未经过医生同意,服用阿奇霉素,这样就容易导致支原体对阿奇霉素产生了抗药性。
也就是说,部分人因为经常使用阿奇霉素,导致了支原体对阿奇霉素耐药,所以在确诊是支原体肺炎的时候,有部分人使用阿奇霉素,就无效了,此时可以更换其他药物进行治疗,比如喹诺酮类抗生素的莫西沙星、左氧氟沙星等药物治疗。
如果想咨询,可以随时问诊,点击“向TA问诊”
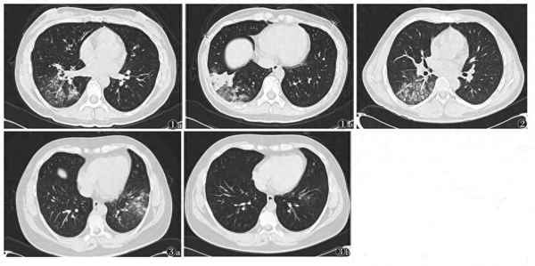
(此处已添加医疗卡片,请到今日头条客户端查看)下面是一个支原体肺炎的CT胶片:

支原体肺炎的CT表现
下一篇:最后一页
