肺部真菌感染有什么症状和治疗、肺部真菌感染是什么原因引起的
真菌性肺炎是一种或多种地方性或机会性真菌引起的肺部感染过程。地方性真菌病原体可以引起健康宿主和免疫功能低下者感染。机会致病真菌往往引起先天性或获得性免疫缺陷的患者感染。真菌性肺炎的诊断有赖于结合临床、放射学和微生物学等因素。
医脉通编译整理,未经授权请勿转载。
患者的预后通常与潜在疾病严重程度、结局及是否能改善影响患者免疫状态的因素有关。
真菌性肺炎的并发症
1. 常见并发症包括:
(1)疾病散播到其他部位(即,脑、皮肤、肝脏、、肾脏、肾上腺、心脏、眼睛)和脓毒症综合征;
(2)血管浸润,可导致咯血、肺梗塞、心肌梗塞、脑脓毒性栓子,脑梗塞或失明。
2. 其他并发症可能包括:
➤支气管胸膜瘘或气管食管瘘
➤慢性肺部症状
➤纵隔纤维瘤病(组织胞浆菌病)
➤支气管结石症(组织胞浆菌病)
➤心包炎和其他风湿病症状
危险因素
在流行地区大量接触鸟类、蝙蝠或啮齿类动物粪便或其他动物排泄物的工人或农民,易患任何地方性真菌肺炎,如组织胞浆菌病。此外,农民、苗圃工人、园林工人和园丁感染孢子丝菌病的风险更高,他们在土壤耕作时,有可能割伤或刺伤。
以下情况,患者更易患机会致病真菌:
➤急性白血病或淋巴瘤,化疗期间抑制
➤或外周血干细胞移植
➤实体器官移植的免疫抑制治疗
➤长期糖皮质激素治疗
➤获得性免疫缺陷综合症
➤各种原因导致的中性粒细胞减少症
➤先天性免疫缺陷综合症
➤脾切除术后
➤遗传易感性
病史
真菌性肺炎患者的病史可能包括以下表现:
➤发热
➤咳嗽,通常是干咳
➤胸膜炎性胸痛或钝痛
➤进行性呼吸困难引起的呼吸衰竭
➤地方性真菌病中,由纵膈淋巴结肿大引起的气道阻塞症状
➤咯血(侵袭性曲霉菌病或毛霉菌病)
➤有地方性真菌病地区旅行或暴露史
➤肺外系统受累症状
➤风湿病综合症(地方性真菌病常见)——关节炎和关节痛,结节性红斑、多形红斑和心包炎
➤过敏或过敏反应
➤免疫力低下者的肺外部位
➤艾滋病和隐球菌病患者脑膜脑炎
中性粒细胞减少或免疫功能低下患者,持续发热(甚至在有肺部表现之前)可能是早期感染的症状,尤其是当发热对广谱抗生素治疗无反应时。
真菌性肺炎的体征和症状无特异性,需要与其他呼吸道感染相区别。
真菌性肺炎患者体格检查结果可能包括:体温升高、心动过速、呼吸急促、呼吸窘迫、啰音、肺实变、胸膜摩擦音。重要的肺外发现可能包括:脑膜炎(颈部僵硬、头痛、精神状态改变)、脑脓肿、皮肤病变、风湿和过敏表现、胸膜摩擦音。
鉴别诊断
可以出现与真菌肺炎症状类似的疾病包括:急性呼吸窘迫综合征、衣原体肺炎、尘肺病、嗜酸性肺炎、卡氏肺孢子虫肺炎、吸入性肺炎、细菌性肺炎、病毒性肺炎、心源性肺水肿、神经源性肺水肿、特发性肺纤维化、肺间质纤维化(非特发性)、结核。
实验室检查
传统的培养方法敏感性低且缺乏具体感染的迹象,常使抗真菌治疗的启动延迟。
1. 全血细胞计数(CBC)
地方性真菌病的感染的正常宿主中,白细胞计数(WBC)可能会升高。嗜酸性粒细胞增多具有差异性。如果患者出现中性粒细胞减少,则机会性感染念珠菌,曲霉菌,毛霉菌等生物体的可能性增加。
2. 痰液检查和氢氧化钾染色
该检测可能受到口咽部和呼吸道定植真菌的影响,检测结果阳性不一定是真菌侵袭感染。
如果患者的临床症状和影像学表现与隐球菌一致,如果可以从痰液或BAL液中培养出隐球菌,则可以确诊为肺隐球菌感染。
组织胞浆菌病可以通过痰液中病原体的生长进行明确诊断。可以对BAL液进行培养。
3. 血和尿培养
如果患者疾病已经散播,血培养可以鉴定念珠菌或皮炎芽生菌。尿培养可以鉴定隐球菌或芽生菌。
4. 非培养方法检测真菌感染
与培养方法相比,具有更快更敏感的特点。各种抗原检测方法,聚合酶链式反应(PCR)检测也可用于检测各种病原体,包括曲霉菌,组织胞浆菌和念珠菌。
对于曲霉菌抗原,在临床怀疑为侵袭性真菌感染之前,血半乳甘露聚糖检测结果可能很早就呈阳性,可用于监测和预防高危人群。
5. 血清学
血清学在肺组织胞浆菌病的诊断中起着重要作用。但对其他真菌引起的肺部感染,作用较小。
放射学表现
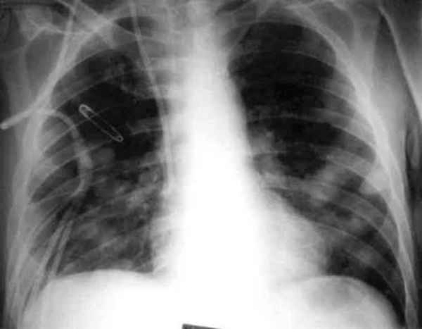
可能会观察到斑片状浸润,结节(见图1),实变,空洞或胸腔积液。
纵隔淋巴结肿大在地方性真菌肺炎患者中很常见。淋巴结肿大可以是单侧或双侧。感染曲霉菌引起中性粒细胞减少的患者(60%),常见磨玻璃影包围肺结节,称为“晕征” 。

图1 胸部X线片示多发肺结节。因慢性粒细胞白血病进行移植后,该患者接受皮质类固醇激素治疗。对支气管肺泡灌洗液真菌培养后显示曲霉菌和其他菌种。
CT对免疫力低下非特异性浸润患者的早期诊断具有一定作用。CT扫描可观察曲霉菌患者的晕征。一项研究发现,在235例侵袭性曲霉菌感染的患者中,多达61%的患者出现晕征。
图2 侵袭性曲霉菌感染患者的CT扫描,示多处肺部病变。左肺空洞病变显示磨玻璃晕征。
图3 肺曲霉菌感染的CT扫描示多处基于胸膜的病变和肺实变。
由于肺曲霉菌感染的病死率高,应当对肺部感染提示曲霉病风险的患者,尽早进行CT扫描。在血液恶性肿瘤患者中,有几种非特异性表现以区分毛霉菌病与其他感染,尤其是曲霉菌。
包括多发结节、胸腔积液,发展成“反晕征”(磨玻璃影被实变包围)。反晕征不仅限于毛霉菌病,也可能出现在组织胞浆菌病、隐球菌病中,甚至在非真菌性疾病如结核病和结节病患者中发现。但是,在严重中性粒细胞缺乏的患者中,应高度怀疑毛霉菌病,并在等待培养结果的同时启动适当的经验性治疗。
组织病理学
常见致病真菌的组织病理学表现如下:
➤曲霉病:无色素(透明质酸),锐角分枝的有隔菌丝,但不特异
➤毛霉菌病:无色素(透明质酸),广泛的无隔菌丝,是毛霉菌病的可能证据。
➤隐球菌病: 周围清晰的酵母型菌落,有提示作用。 染色具有特异性
➤组织胞浆菌病:小酵母样(2-4 µm),窄颈芽孢,聚集在巨噬细胞内。酵母样特征提供可能感染的证据。
➤念珠菌病:小酵母样(3-5 µm)与假菌丝和/或菌丝混合; 光滑念珠菌不产生微丝或假菌丝。
医脉通编译整理自:Fungal Pneumonia- Medscape- Jun 21, 2019

